Son eklenen rehber yazılar
Periodontitis
” Sapasağlam dişlerim çürümeden sallanmaya başladı, çektirmek zorunda kaldım. Ağız kokum arttı. Diş etlerim çekiliyor, fırçalarken kanıyor. Sabah kalktığımda yastıkta kan buluyorum. Elma bile ısıramıyorum…”
Yukarıda anlatılanları yaşamış olmasanız bile bir çoğunuz yakınlarınızdan duymuşsunuzdur. Periodontitis bu alıntılanan sözlerden anlaşıldığı gibi diş kayıplarıyla sonlanabilecek yıkıcı bir iltihabi hastalıktır. Değişip tipleri olan periodontitis, temelde diş etlerinde başlayan iltihabın zaman içersinde ilerleyerek dişleri çevreleyen kemikleri yıktığı bir hastalıktır.
Kronik (uzun süreli – süregelen) bir hastalık olan periodontitis bazı yönleriyle diğer iltihabi hastalıklardan farklıdır. İltihap ile tarif edilse herhangi bir antibiyotik ya da kısa süreli bir tedavi ile tamamen ortadan kaybolacak bir hastalık değildir. Erken teşhis edilip hekim ve hastanın işbirliği ile kontrol altında tutulması gereken bir durumdur. Hastanın bir çok şikayeti etkin bir tedavi planı ile azaltılabilir fakat ihmal edilirse çok kolay tekrarlar.
Belirtileri
Diş etlerinde kızarıklık, şişlik, parlaklık, fırçalarken ya da kendiliğinden dişeti kanaması ve ağız kokusu gibi gingivitis benzeri şikayetler. Not: Bu belirtilerin olmaması hastalığın olmadığı anlamına gelmez. Bazı vakalarda bu belirtiler az ya da hiç gözlenmezken diş destek kayıpları gelişebilir. Bu sebeple erken – periyodik diş hekimi kontrolü çok önemlidir.

- Diğer diş problemlerine kıyasla ağrı az gözlenir. Abseli durumlarda ağrı şiddetlenebilir.
- Röntgende gözlenen diş çevresi kemik yıkımı
- Diş çevresi kemiğin erimesi ile diş ve diş eti arasında derin ceplerin oluşumu.
- Diş etlerinin dişlerden ayrılması, sallanması.
- Dişeti çekilmesi
- Dişlerin sallanması ya da yer değiştirmesi.


Nedenleri
- Hastalığın birincil etkeni diş yüzeyinde biriken mikrobiyal plaktır. Hastalık, mikrobiyal plaktaki bakterilerin diş eti dokularına devamlı saldırısı, doku savunmasının buna bazen yetersiz bazen de aşırı cevabı sonucu kronik (uzun süreli – süregelen) iltihap ile gelişir. Bu iltihap zamanında tedavi ve vücut savunması ile uzaklaştıramazsa dişi çeverleyen kemiklere yayılır ve kemikleri eriterek ilerler.
- Mikrobiyal dental plağın yanında bağışıklık yanıtını bozan bazı hastalık ya da durumlar hastalığın gelişimini ya da şiddetlenmesini kolaylaştırabilir.
- Hastanın mikrobiyal plağı etkin bir şekilde uzaklaştırmasını güçleştiren dişlere ve eski tedavilere bağlı düzensizlikler hastalığın gelişimini kolaylaştırır, tedaviyi güçleştirir.
Tedavisi
Bir çok tedavide olduğu gibi hasta ile hekim arasındaki iletişim ve iş birliği çok önemlidir. Doğru tedavi ile hastalığa bağlı şikayetler azalır fakat ihmal edilirse hastalık tekrar alevlenir.
- Hasta mevcut durum hakkında bilgilendirilir, hastalığın nedeni ve iyileşmenin şartları açıklanır.
- Hastaya uygun olan ağız hijyen uygulamarı model, resim vb. çeşitli araçlarla anlatılır.
- Tedavi ile iyileşme umudu olmayan ya da tedavi planını olumsuz etkileyen dişler çekilir.
- Başta diş taşları olmak üzere dişler üzerindeki zararlı eklentiler diş yüzey temizliği (detartraj) ile kaldırılır.
- Diş çevresi ceplerin içersinde, kök yüzeylerindeki diş taşı gibi zararlı etkenler uzaklaştırılır. kronik iltihaptan etkilenmiş, iyileşmeye engel olan doku artıkları uzaklaştırılır. Kök yüzeyleri ve diş etleri iyileşmeye ve tamire uygun hale getirilir.
- Periodontitisin tedavisi temelde cerrahi olmayan tedavi ve cerrahi tedavi olarak sınıflandırılabilir. Cerrahi olmayan tedavi uzun yıllardır hastalara diş taşı demizliği (detartraj) ve küretaj olarak anlatılmıştır. Her ne kadar bu kavramlar bilimsel literatür ile tam uyumlu olmasa da günümüzde kliniklerde hala kullanılmaktadırlar. Tedavilerin adı değişse de yapılan mekanik tedavi ve kullanılan aletler çok fazla değişmemiştir.
- Cerrahi olmayan tedavi süreci tamamlandıktan sonra yeterince iyileşmeyen bölgelerde cerrahi tedavi planlanır. Flep operasyonu olarak da adlandırılan bu tedavi ile ulaşılması güç olan hastalıklı diş kökü ve kemik yüzeylerine kesi yapılarak ulaşılır. Hastalık etkenleri ve iltihaplı doku artıkları uzaklaştırılır. Diş kökleri, diş etleri ve kemik yüzeyleri iyileşmeye ve tamire uygun hale getirilir. Gerekli ve faydalı ise bazı yıkım sahalara kemik grefti (kemik tozu) ya da diğer doku oluşturucu materyaller uygulanır.
- Etkin ağız hijyenini güçleştiren dişlere bağlı durumlar (diş çürüğü, kötü-uyumsuz dolgu ya da protezler, çapraşıklık vb.) giderilir.
- Kaybedilen dişlerin yerine yapılacak protezler hastalığın kontrol altına alınması ve proteze zemin olacak dokuların sağlığına kavuşması sonrası planlanır.
- Tedavi ve kontrol seanslarının sayısı ve sıklığı hastaya özel durumlar değerlendirilerek belirlenir. Hastanın diş eti sağlığı ile ilgili farkındalığı, tedaviye uyumu ve ağız hijyen uygulamasının etkinliği her seansta değerlendirilir. Bilgilendirmeler tekrarlanır.
Fotoğraflar, Avrupa Periodontoloji Federasyonunun web sitesinden alınmıştır.
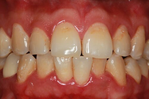
Gingivitis – Diş Eti İltihabı
Sadece diş etleriyle sınırlı iltihabi periodontal hastalık
Gingivitis, ağzın bir bölgesinde ya da tüm ağızda yaygın olarak gözlenebilen dişleri yaka gibi saran diş eti iltihabıdır. Klinik muayenede değişik seviyelerde iltihap belirtileri gözlenirken röntgende herhangi bir değişiklik yoktur. Bu özelliği ile gingivitis, her ne kadar dişleri destekleyen kemiklerin yıkıma uğradığı periodontitis hastalığının başlangıç formu gibi algılansa da, aslında ayrı bir hastalıktır. Her ne kadar hastalığın hafif formu gibi gözükse de dişi çevreleyen dokuların yıkımının önlenmesi açısından bu safhada muayene ve tedavi çok önemlidir. Tedavi edilemeyen gingivitis, diş kayıpları ile sonuçlanan yıkıcı periodontitis hastalığı için bir risk faktörüdür.
Belirtileri
- Dişetlerinde kızarıklık, şişlik, parlaklık
- Fırçalarken ya da kendiliğinden diş eti kanaması
- Ağız kokusu
- Ağrı az görülür.


Nedenleri
- Hastalığın birincil etkeni diş yüzeyinde biriken mikrobiyal plaktır. Hastalık, mikrobiyal plaktaki bakterilerin diş eti dokularına devamlı saldırısı, doku savunmasının buna bazen yetersiz bazen de aşırı cevabı sonucu kronik (uzun süreli – süregelen) iltihap ile gelişir.
- Mikrobiyal dental plağın yanında bağışıklık yanıtını bozan bazı hastalık ya da durumlar hastalığın gelişimini ya da şiddetlenmesini kolaylaştırabilir.
- Hastanın mikrobiyal plağı etkin bir şekilde uzaklaştırmasını güçleştiren dişlere ve eski tedavilere bağlı düzensizlikler hastalığın gelişimini kolaylaştırır, tedaviyi güçleştirir.
Tedavisi
Bir çok tedavide olduğu gibi hasta ile hekim arasındaki iletişim ve iş birliği çok önemlidir. Gingivitis, doğru tedavi ile kolay iyileşen ancak ihmal edildiğinde de kolay tekrarlayan bir hastalıktır.
- Hasta mevcut durum hakkında hekim tarafından bilgilendirilir, hastalığın nedeni ve iyileşmenin şartları açıklanır.
- Hastaya uygun olan ağız hijyen uygulamarı model, resim vb. çeşitli araçlarla anlatılır.
- Başta diş taşları olmak üzere dişler üzerindeki zararlı eklentiler diş yüzey temizliği (detartraj) ile kaldırılır.
- Etkin ağız hijyenini güçleştiren dişlere bağlı durumlar (diş çürüğü, kötü-uyumsuz dolgu ya da protezler, çapraşıklık vb.) giderilir.
- Tedavi ve kontrol seanslarının sayısı ve sıklığı hastaya özel durumlar değerlendirilerek belirlenir. Hastanın diş eti sağlığı ile ilgili farkındalığı, tedaviye uyumu ve ağız hijyen uygulamasının etkinliği her seansta değerlendirilir. Bilgilendirmeler tekrarlanır.
Fotoğraflar, Avrupa Periodontoloji Federasyonunun web sitesinden alınmıştır.
Sık Gözlenen Periodontal Hastalık ve Durumlar
Gingivitis
Dişlerin üzerinde biriken mikrobiyal plağın neden olduğu dişeti ile sınırlı iltihabi hastalıktır. Bu hastalıkta dişleri çevreleyen kemikler henüz etkilenmemiştir. Her ne kadar hastalığın hafif formu gibi algılansa da dişi çevreleyen dokuların yıkımının önlenmesi açısından bu safhada muayene ve tedavi çok önemlidir.
Belirtileri:
- Dişetlerinde kızarıklık, şişlik, parlaklık
- Fırçalarken ya da kendiliğinden diş eti kanaması
- Ağız kokusu
- Ağrı az görülür.
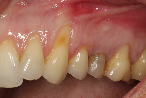
Periodontitis
Dişetlerinde başlayan iltihabi durumun dişleri çevreleyen kemiklere ilerlediği ve diş desteğinin azaldığı hastalıktır. Tedavi edilmediği takdirde ilerleyici – yıkıcı bir hastalıktır. Olası diş kayıplarının önlenmesi açısından erken teşhis, tedavi ve rutin kontrol çok önemlidir.
Belirtileri:
Dişetlerinde kızarıklık, şişlik, parlaklık, fırçalarken ya da kendiliğinden dişeti kanaması ve ağız kokusu gibi gingivitis benzeri şikayetler. Not: Bu belirtilerin olmaması hastalığın olmadığı anlamına gelmez. Bazı vakalarda bu belirtiler az ya da hiç gözlenmezken diş destek kayıpları gelişebilir. Bu sebeple erken- periyodik diş hekimi kontrolü çok önemlidir.
- Diğer diş problemlerine kıyasla ağrı az gözlenir. Abseli durumlarda ağrı şiddetlenebilir.
- Röntgende gözlenen diş çevresi kemik yıkımı
- Klinik muayenede gözlenen cep oluşumu
- Dişeti çekilmesi
- Dişlerin sallanması ya da yer değiştirmesi.
Dişeti absesi ve periodontal abse
Yabancı bir cismin batması ya da diş etrafındaki cebin ağzının tıkanıp iltihap ile dolması sonucu gözlenebilir. Ağrı, kızarıklık-morluk, şişlik, kanama ya da itihabi akıntı görülebilir.
Dişeti büyümesi
Dişeti büyümesi iltihabi ya da ilaca bağlı gelişebilir. Kalsiyum kanal blokerleri (tansiyon ilaçları), antikonvülzanlar (Epilepsi tedavisi) ve bağışıklık baskılayıçı ilaçlar sıklıkla dişeti büyümesine yol açan ilaçlardır.
Dişeti çekilmesi
Dişetlerinin çekilmesi ile kök yüzeyleri açıkta kalır ve dişler adeta uzamış gibi görünürler. Dişeti çekilmesi yalnızca bir estetik problem olmayıp fonksiyon kaybı ve diş hassasiyetine de yol açabilir. Dişeti çekilmesine yol açan neden iltihabi olabileceği gibi yanlış diş fırçalama ve benzeri kötü alışkanlıklar ya da gelişimsel – anatomik düzensizlikler olabilir. Muayene sonucunda dişeti çekilmesinin miktarı altta yatan nedenlerle birlikte değerlendirilir ve çekilmenin ilerlemesini durdurmaya ve açıkta kalan kök yüzeyini kapatmaya yönelik işlemler planlanır.
Periodontoloji Nedir?
Periodontoloji, diş etleri ve dişi destekleyen diğer dokuların sağlığı ve tedavisi ile ilgilenen uzmanlık dalıdır.
Periodontal hastalıklar toplumda en yaygın gözlenen kronik hastalıklardandır. Bu hastalıklar bir ya da birden fazla diş etkileyebilir, her yaştan bireyde gözlenebilir. Periodontal hastalıklar etkenleri ya da klinik seyrine göre çeşitli isimlerle sınıflandırılmışlardır. Bunların büyük çoğunluğunda temel etken dişlerin üzerinde biriken mikrobiyal plak olmakla beraber hastalığın şiddetini etkileyen ilave bireysel faktörler olabilir. Özellikle de ailesinde erken yaşta diş kaybı/ diş eti hastalığı geçmişi olan, sigara kullanan ya da diyabet gibi genel sağlığı etkileyen durumlara sahip olan bireylerin düzenli olarak izlenmesinde büyük yarar vardır.
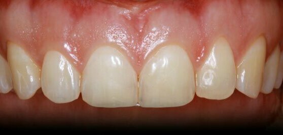
Sağlıklı diş etinin görünümü
Sağlıklı diş eti mat görünümlü, açık pembe renkli ve sert kıvamlıdır. Bazı hastalarda yüzeyi portakal kabuğu gibi pütürlü olabilir. Fırçalama ile kanamaz.